Indications for Therapy


Curious if OMT would help you or a loved one?

Below are some common indicators for therapy.

For a more detailed look, check out our Self Quiz or contact us today to set up a free phone consultation to go over your questions and see if Renew Myo is a good fit for your needs.

Click on each photo for additional information.

Thumb Sucking

Thumb sucking begins in the womb and is used as a soothing mechanism that can cause long term damage to oral and facial development.

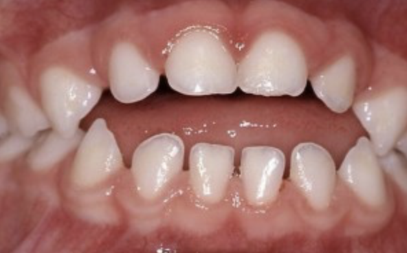
Open Bite / Tongue Thrust

Look into the mirror and smile.  Is there an open space between your front teeth?  Do your back teeth come together? When you swallow, does your tongue project forward?

Sleep Apnea

Sleep Apnea is common in both children and adults. Working with an Orofacial Myologist can offer assistance with improving your daily and nightly well being.

TOTS: Tethered Oral Tissues

Known as ankyloglossia.  Frenum attachment is important for many reasons including speaking and feeding. Click on the image to find out more.

Open Airway Nasal Breathing

The mouth is designed for eating and speaking.  The nose is designed for breathing.  Open nasal airway filters bacteria from entering the body, brings proper amounts of oxygen into lungs and much more.

Therapy

What type of therapy would work for you?  Having a full evaluation is the only way to find out.  Still unsure?  Send us your questions.  We can walk through this together. 

Connect with us on Social Media

Email: Connect@CentralVirginiaOMT.com